The Friends of the Folsom Zoo Sanctuary's New Newsletter
If you're having trouble viewing this email, you can see it online.
Tracks%20and%20Tales%20Header%201200x300.jpg

Issue: Spring 2025

The%20Friends%20at%20Work%20Header.jpg

A belated Happy New Year to all of our Friends of the Folsom Zoo Sanctuary members! As we all start to come out of our winter hibernation, we thought it would be a good opportunity to debut our new quarterly newsletter, Tracks and Tales, where we keep you informed of the good works being done by the Friends as well as information on our resident animals and the dedicated volunteers who help keep them happy and our visitors informed and entertained.

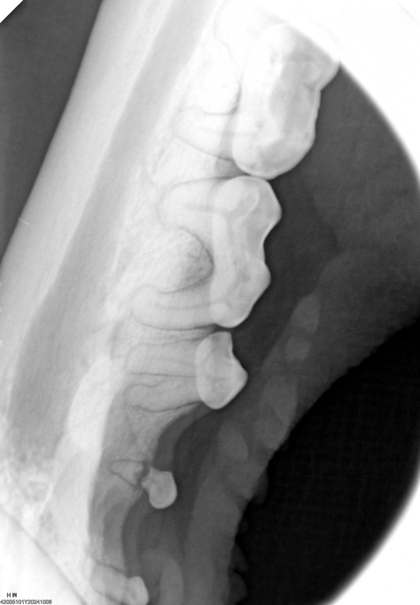
Olive%20Dental%20X-ray.jpg

The Friends were busy in 2024 contributing to the sanctuary in meaningful ways that enhance the health and happiness of our animal residents. Here are a few of the projects we took on in 2024:

Purchase of an X-ray Machine and Generator – This purchase reduces stress for our animals and human caretakers by allowing veterinary staff to x-ray our residents on site. It also contributes to faster diagnoses and saves money. (See Bear Olive's mouth x-ray at left, where we discovered a broken tooth and extracted it, resulting in a happy, healthy bear.)

Coyote Exhibit – The Friends contributed nearly $70,000 to upgrade an exhibit for a new coyote, who will be in his new space soon.

Improve Quarantine Area – This multi-purpose area benefitted from the Friends’ financial contribution to purchase caging to allow animals to have a spacious and safe habitat while going through their quarantine period before integrating into the zoo population.

Resident%20Animal%20Spotlight%20Header.jpg

Hi, we are Carmen and Luisa, and we recently moved to the fabulous city of Folsom. We both grew up in Southern California and both, being a little bit clumsy, fell out of our nests and needed some veterinary intervention. We got to be good friends at the clinic when we roomed together, so when the opportunity arose for us to move into the sanctuary together, we flew at the chance!

Two green parrots with pink heads and orange beaks

 

 

We're pretty and we know it. - Carmen and Louisa

We know what you’re thinking, “How could these exotic, gorgeous parrots fall out of a nest in California of all places?” Actually, in Orange County, green-cheeked amazons, also known as red-crowned parrots, can be spotted in noisy flocks everywhere from regional parks to Disneyland. While our heritage on the West Coast isn’t clear, the population of our kind has been growing across Southern California since the 1970s. Some residents claim parrots were released by a pet store that caught on fire, while others say a zoo released them when they closed. Smugglers dumping their inventory and migration from Mexico due to habitat loss have also been discussed as the origin of the population.

We recently investigated our genealogy, and it goes back to native populations of green-cheeked amazons in the northeastern part of Mexico. In their native range, our relatives are listed as endangered species on the IUCN Red List! The greatest threats to birds like us are long-term habitat loss and extensive exploitation for the pet trade. You can do your part by ensuring that when choosing a pet, you are not purchasing animals that have been collected from the wild.

Stop by to say “Hi” sometime. We’d love to show you our gorgeous feathers!

Volunteer%20Spotlight%20Header.jpg

Dave Cook – Deer Rehab Volunteer

More than 25 years ago, Dave Cook bumped into a deer trapped in a barbed wire fence while out walking his dog. After calling Sierra Wildlife Rescue and assisting the deer to get “unstick,” he ended up volunteering with the organization. 

One day, Sierra received a call for a fawn rescue when their deer expert was out. Dave took the call, rescued the fawn, and then shadowed the expert through the rehab and release process, and was hooked! As Dave tells it, “The fawns chose me.”

Shortly thereafter, Dave began partnering with the Folsom Zoo Sanctuary because there weren’t many options for fawns who weren’t able to be released back into the wild. Now, some unreleasable fawns find a new, safe, forever home in Folsom. In fact, five of the six deer in the sanctuary’s current herd all came from Dave and Sierra Wildlife Rescue. 

Volunteer Dave holding a rescued fawn

 

 

 Dave with a fawn that was successfully rescued and released back into the wild. Because it only had superficial wounds, it was reunited with its mom.

You may wander upon Dave giving deer presentations for the docents or zoo campers to educate them about the natural history of deer, rehabilitation techniques, and how zookeepers help make the lives of these non-releasable deer a wonderful experience that mimics their natural habitat as much as possible. Additionally, he brings donated browse (branches, leaves, and acorns) for the deer to forage and eat to supplement their diets.

Dave finds his volunteer work incredibly rewarding, “It’s difficult but rewarding work. Your heart grows several sizes when you see the fawns run back into the wild, healthy and free.” And he should know because he received over 600 calls and rescued 176 fawns last year!

If you see a fawn in distress, call the Fawn Rescue Hotline at Sierra Wildlife Center: 530-678-FAWN. And if you see Dave at the sanctuary hanging out in front of the deer exhibit, tell him, “Hi!”

Overheard%20by%20the%20Animals%20Header.jpg

The wolf hybrids (and a docent) overheard a young human visitor gasp, “Wolf hybrid? Does that mean they are half wolf, half human?!” They wish 😊

This email was sent to rochellebarcellona@gmail.com. Click here to unsubscribe.